Self Study CE
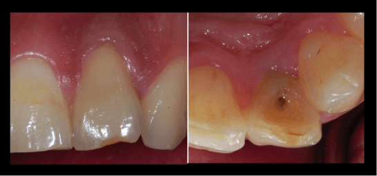
Endodontic Management of an Infected Immature Tooth with Spontaneous Root Closure and Type II Dens Invaginatus
Price range: $10.00 through $30.00
IDA members: $10
Non-members: $30
IDA members: Please log in prior to purchase in order to receive your discount pricing.
CE credit: .5 credits
Clinicians frequently encounter the sequlae of trauma, but are rarely present when the trauma actually occurs. It is important to be aware of possible healing responses after dental trauma has occurred.
CE credit: .5 credits
Related products
Opioid Abuse and Prevention 2025
Dental Radiography Student Enrollment and Course Materials
Additional Student Textbook
Opioid Abuse and Prevention 2021
Stay Current, Stay Certified
Indiana dentists must complete 20 hours of continuing education each licensure period. The Indiana Dental Association offers up to 100 hours annually through various courses, live and online classes, and local events. Keep learning and stay ahead in your profession.
View All CE OpportunitiesClassified Ads
View allPart-Time Associate Job Position
Pediatric Dentist Position – Village Dental at Saxony
13390 Overview Dr. Fishers, IN 46037
Associate Dentist – Serve with Purpose. Deliver Same-Day Excellence.
LaGrange, IN
Practice for Sale-Linton IN
Linton, IN
Oral & Maxillofacial Surgeon
Lafayette, IN
Dental Hygienist
Dawson Family Dentistry
Turnkey Dental Office – Prime S. Indiana Location Near Louisville!
Southern Indiana near Louisville.
Full-Time Associate Dentist with $10,000 Sign-On Bonus for Fort Wayne, IN 46804
Fort Wayne, IN 46804


